奇美博物館 油畫修復師 李文元
什麼是X光?

X光波段在紫外線的左邊
日常生活中的穿透式X光運用
X光的發現不僅為科學發展開啟新紀元,也因為它具有絕佳的穿透性,而延伸開發成各種非破壞性的檢測儀器,廣泛地應用在醫療、科技、生活與美學等領域之中。在這個單元我們要討論的是穿透式X光影像(Transmitting X-ray),也就是醫院最常見的一般X射線攝影(X-radiography),用來查看骨骼是否受傷斷裂、內臟器官是否有異常的組織生長。或者是搭飛機前的飛安檢查,安檢人員也會利用X光快速查看旅客行李是否有違禁品。也就是說,我們利用穿透式X光獲得超人的「透視」能力,穿透人體或物品的表層來觀察內部結構。

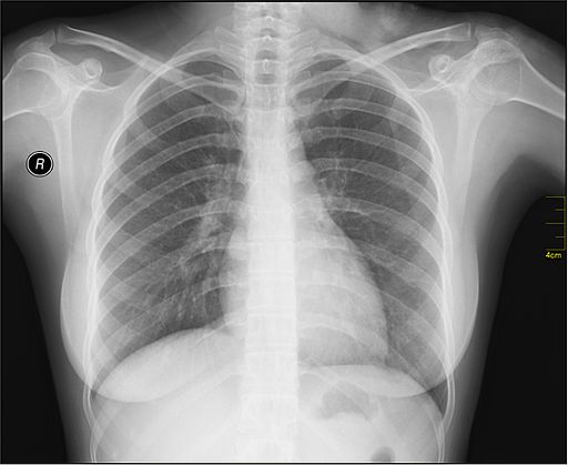
使用X光查看人體內部
© Nevit Dilmen, CC BY-SA 3.0 <https://creativecommons.org/licenses/by-sa/3.0>, via Wikimedia Commons
拍攝X光影像有點類似用手電筒玩手影遊戲。手電筒的光穿不透手,所以可以在牆上投影出實心的手影,但若換成透明的玻璃杯,則只會有淺淺的陰影。由於不同物質對X光有不同的吸收或穿透率,當使用X光照射時,會在被測物背後的成像板上投影出深淺不一的對比影像,便可依此將不同成份的物質區分出來。但是什麼因素決定了X光對物質的穿透程度呢?
我們知道萬物皆由原子組成,原子中心有原子核,原子核周遭環繞電子,這些電子對X光而言就好像路障一樣,X光行徑時若撞到電子便會損失能量。當X光通過原子序較高的物質(含有較多電子)時,因為路障的密度或數量增加了,就比較容易被阻擋而降低穿透率。同理,增加物質的厚度也會有一樣的效果。
如何拍攝X光影像
拍攝X光影像時,X光射源在物品之前,射源發出的X光會穿透物品,並且投影在物品背後的成像板上。物品越貼近成像版,影像輪廓越清晰。透過改變射源的電壓、電流與曝光時間,可調整X光的穿透力、影像清晰度以及影像明暗。不過由於X光影像是平面的投影成像,立體或多層次物件的重疊結構會同時疊加在一起,這也是為什麼醫院會要求我們在拍攝X光時脫掉衣服、項鍊的原因。除了排除不必要的配件干擾以外,多換幾種角度拍攝也能讓我們對立體物件結構的理解更全面。

X光拍攝示意圖
文物檢測上的應用
仔細觀察、比對材質在X光影像中的形態與明暗程度,也可以讓我們初步了解這些材質的屬性。選用適當的射源設定,可以協助我們看見顏料底下的木材年輪,或者分辨木材中藏著的金屬五金,甚至是區分礦物性顏料與有機顏料。
也因為X光攝影可以用非破壞性的方式查看文物的內部狀況,我們便可以進一步了解文物的「內部結構」、「製造技術」與「使用功能」2 ,比如觀察木雕內部是否有空洞、傢俱的榫卯方式,或者槍砲擊發的設計等等。
1NobelPrize.org. Nobel Media AB 2020. “Wilhelm Conrad Röntgen - Biographical.” . (Oct. 18, 2020).
2參考自:盧泰康、李建緯。《文物普查動手做》。臺中市:文化部文化資產局,2018年。
參考資料
姚潔宜。〈X光的奇妙世界〉。《國家奈米元件實驗室奈米通訊》,期22-1 (2015):頁34-38。
練冠霆。〈發現X射線〉,科技大觀園,https://scitechvista.nat.gov.tw/c/sTgU.htm,檢索於2020年10月25日。
盧泰康、李建緯。《文物普查動手做》。臺中市:文化部文化資產局,2018年。